Professional Teeth Whitening
at Dentalcare MarboroughA smile makeover with Teeth Whitening
Teeth get discoloured for a variety of reasons including smoking and drinking too much tea, coffee or red wine. Professional teeth whitening will brighten the colour of your teeth and will restore your confidence to smile again.
Hundreds of patients from Marborough are using teeth whitening to get an instant smile makeover.
Professional teeth whitening is recommended as your dentist can prescribe the correct amount of chemicals and inspect the health of your teeth before, during and after treatment. Over the counter products can be risky to your teeth and your health.
Teeth whitening in Marborough
At Dentalcare Marborough we offer two ways to whiten your teeth:
Philips Zoom! Teeth whitening at Dentalcare Marborough dental practice
A scientifically tested gel will be applied to your teeth which removes stains by breaking down dentin deposits and the compounds which cause them. A special light is then placed over your teeth which breaks down the gel to your teeth. The entire process usually takes about an hour.
Teeth whitening in your home
Alternatively, we make and fit you with a bespoke whitening tray which you wear for a certain amount of time at home or overnight. We offer two brands for this treatment – Boutique whitening and Pola whitening.
01753 543 742
Book your appointment for Teeth Whitening
Philips Zoom! teeth whitening
If you’re looking for fast, dramatic results for teeth whitening, then Philips Zoom! in -practice whitening treatment is for you. It is clinically proven to whiten your teeth up to 7 shades in an hour. More patients report less or no sensitivity with this treatment than home teeth whitening kits. This type of whitening is particularly effective for patients who have deep discolouration on their teeth (from red wine, coffee, smoking or medication). As this treatment is performed by the dentist, you can be sure that the treatment is safe, and it can be customised to your needs.
Boutique teeth whitening
You wear your custom-made trays over the top of your teeth which you fill with the prescribed amount of whitening gel. Boutique by Day contains a higher concentration of bleaching gel, so you only need to wear them for 1 or 2 hours as prescribed by your dentist. If you want a fast and convenient solution, then this is for you. Boutique by Night contains carbamide and is a far gentler process. You wear your trays over-night. This is a more gradual approach and is better suited if you want the convenience of not wearing trays during the day or if you have sensitive teeth.
Poladay and Polanight teeth whitening
Just like Boutique whitening, Pola involves you wearing a custom-made tray which contains teeth whitening gel. Poladay uses hydrogen peroxide which is a fast treatment and can be worn for as little as 30 minutes in the day. Polanight uses carbamide peroxide which is a slower acting chemical that provides a gentler whitening treatment whilst you sleep. Both forms of Pola whitening treatments contain fluoride to protect against sensitivity and both are safe and offer the flexibility to whiten your teeth in your own time. With Pola teeth whitening, you get to choose the shade of white for your treatment.
Book a consultation to talk through the different teeth whitening options and find out which is the best for you.
Benefits of Teeth Whitening
Benefits of teeth whitening at Dentalcare Marborough include:
- Teeth whitening will brighten your teeth and give you a stunning smile, it can boost your self-esteem
- Fast treatment times, especially if you opt to whiten your teeth at the Dentalcare Marborough dental practice
- Instant results, your teeth and smile will be updated in a short space of time
- Teeth whitening is relatively inexpensive and if you have a good dental hygiene routine, it will last several years
- Teeth whitening is an unobtrusive treatment which won’t affect your usual routines
Book a consultation and find out more about teeth whitening at Dentalcare Marborough.
Frequently asked questions about Teeth Whitening
What is “tray whitening”
This is a tooth whitening process that you carry out at home whilst under the supervision of a professional dentist. You add the prescribed gel into your custom-made trays which you wear according to your dentist’s instructions. The gel either contains hydrogen peroxide or carbamide peroxide and because of the concentration, it must be prescribed by a dentist within Europe.
Is teeth whitening a safe procedure?
Yes, as long as your dentist is involved in the process. Teeth and gums can be permanently damaged if they are not treated with care, so it is best not to buy over the counter or products online. Teeth whitening can cause some sensitivity, so it is important to always follow your dentist’s advice and not wear your whitening trays for longer than specified.
Does teeth whitening hurt?
Not normally, but it can feel different for each patient. You may notice some discomfort if you have sensitive teeth and this will ease once you have taken your trays out. Your dentist will assess your teeth before beginning your teeth whitening treatment and will check the condition of your teeth and whether they are sensitive.
Dental Fees
At Marlborough Orthodontics, we treat every patient as individuals, therefore each treatment plan is completely bespoke.
Finance
We offer finance options because we believe everyone should be able to benefit from high-quality dental care.
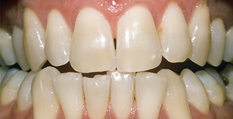
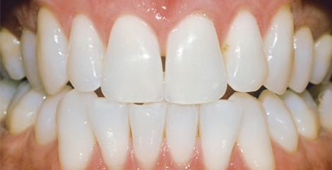
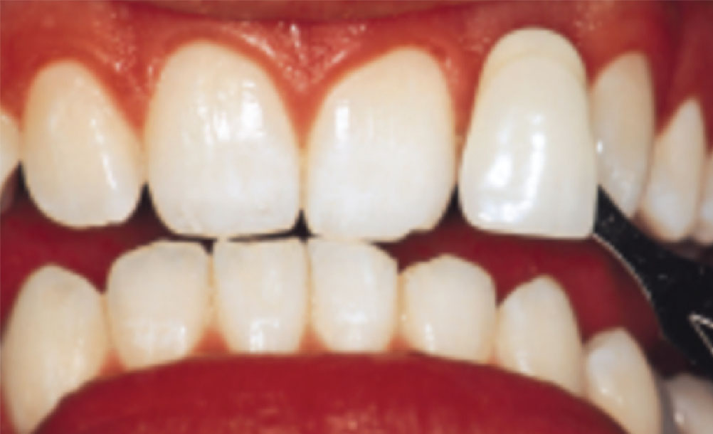
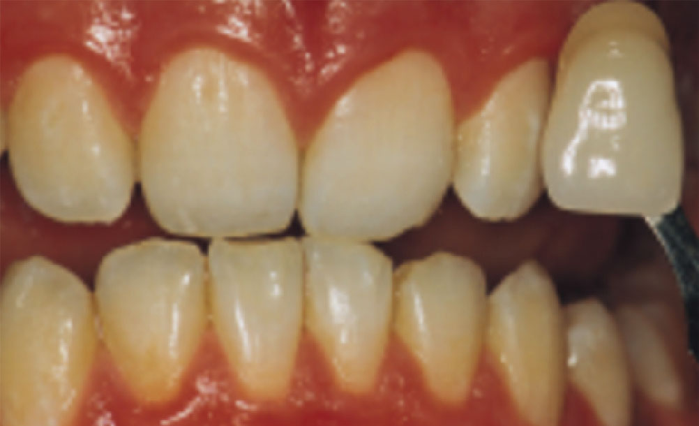
Before & After
We are often told by our patients that the dental treatments we have provided has dramatically improved their quality of life.